| “...plantar fasciitis is the most frequently encountered cause of heel pain. ” |
Plantar fasciitis is the most frequently encountered cause of plantar heel pain. For many years this clinical group of problems has been incorrectly termed the "heel spur syndrome" while it is better termed a "plantar heel pain syndrome". Heel spurs sound ominous, but they can be present and not cause any pain. The formation of a spur is a sign that too much tension has developed within the plantar fascia, and it may have partly torn from its origin at the calcaneus (heel bone). This may result in new bone formation at the site of the injury.

The pain of Plantar Fasciitis, now often termed, when chronic Plantar Fasciosis, which is the most common heel problem, seems to be caused by a painful partial tearing or avulsion of the plantar fascia most often at the portion attached to the medial calcaneal tuberosity. This tearing can sometimes result in a heel spur forming (from the injured bone attempting to heal itself). The heel spur itself, as we have mentioned, is not the cause of the pain. Plantar fasciitis or the injured tissue is the cause of the pain. Tenderness is usually found right at this location on the medial calcaneal tubercle.
The term plantar fasciitis is derived in part from plantar which refers to the bottom of the foot and from fascia which is a type of dense fibrous connective tissue. The "itis" is a suffix which means inflammation. Latest studies show that in many cases of plantar fasciitis there really is no inflamation, but rather an avascularity ( loss of blood circulation ). This may be similar to what has been termed Achilles Tendinosis (rather then tendinitis). Lemont (2003) has termed it a fasciosis. It is a conception difference, but the pain still remains quite similar.
If your foot flattens or becomes unstable during critical times in the walking or running cycle, the attachment of the plantar fascia into your heel bone may begin to stretch and pull away from the heel bone. This will result in pain and possibly swelling. The pain is especially noticeable when you push off with your toes while walking. Since this movement stretches the already inflamed portion of the fascia. Without treatment the pain will usually spread around the heel. The pain is usually centered at a location just in front of the heel toward the arch. When the tearing occurs at the bone itself, a the bone may attempt to heal itself by producing new bone. This results in the development of a heel spur. Without the spur the condition is called plantar fasciitis.
The pain of this condition may cause you to try to walk on your toes, or alter your running stride and gait which will cause further damage and may cause a problem to develop in your healthy foot. Gait changes in running may also lead to ankle, knee, hip or back pain.
Related Conditions
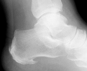
Heel Spur:
A heel spur is a focal point of bone growth on the heel. The bone growth usually extends forward towards the toes. Heel spurs are visible on X-ray. The spur is theorized to occur when the plantar fascia tissue attaching into the calcaneus (heel bone) tears away from the bone and injures the outer layer (periosteum) of the bone. Small amounts of bleeding may occur at this site and then this area can ossify and form a heel spur. It is not the spur that causes the pain, but the continued tension and tearing of tissue at this location.
Plantar Fascia Rupture:
Tears of the plantar fascia are a less commonly found injury than either a heel spur or plantar fasciitis. They usually involve larger and more abrupt forces than the forces which allow for plantar fasciitis to develop. High speed activity develop these forces more often. The force needs to be applied to the ball of the foot. Sprinting places the foot in a position in which this could happen. Soft shoes that bend in the arch may contribute. Plantar fascia tears may also occur in baseball or softball players when sliding in to a base with the foot making contact with the base. Injections of steroid into the region of the plantar fascia may increase the likelihood of this injury.
The tear usually happens further forward than where the pain of plantar fasciitis usually occurs. It is often found 2 to 4 centimeters in front of the attachment of the plantar fascia into the calcaneus (heel bone). The patient will often recall feeling or hearing a "pop". When examined there may be pain when the toes are passively bent upwards (dorsiflexed). The usual treatment for this injury is non-weight bearing for 1 - 3 weeks in a cast and total casting for about 4 - 6 weeks. Full recovery will take 7 to 12 weeks.
Nerve Entrapment
A nerve entrapment of the first branch of the lateral plantar nerve may occur in this area and cause a "burning" pain. This is found much less often than the above discussed conditions. The portion of the lateral plantar nerve that leads to the abductor digiti minimi has been mentioned as a possibly involved nerve in some entrapment syndromes (Baxter). Other possible nerve entrapments that may contribute to pain in the heel region include the medial calcaneal nerve and tarsal tunnel nerve entrapment.
Plantar Fasciitis - Cause:
The most frequent cause is an abnormal motion of the foot called excessive pronation. Normally, while walking or during long distance running, your foot will strike the ground on the heel, then roll forward toward your toes and inward to the arch. Your arch should only dip slightly during this motion. If it lowers too much, you have what is known as excessive pronation. For more details on pronation, please see the section on biomechanics and gait.
The mechanical structure of your feet and the manner in which the different segments of your feet are linked together and joined with your legs has a major impact on their function and on the development of mechanically caused problems. Merely having "flat feet" won't take the spring out of your step, but having badly functioning feet with poor bone alignment will adversely affect the muscles, ligaments, and tendons and can create a variety of aches and pains. Excess pronation can cause the arch of your foot to stretch excessively with each step. It can also cause too much motion in segments of the foot that should be stable as you are walking or running. This "hypermobility" may cause other bones to shift and cause other mechanically induced problems.
Other factors which may contribute to plantar fasciitis and heel spurs include a sudden increase in daily activities, increase in weight (not usually a problem with runners), or a change of shoes. Dramatic increase in training intensity or duration may cause plantar fasciitis. Shoes that are too flexible in the middle of the arch or shoes that bend before the toe joints will cause an increase in tension in the plantar fascia. Make sure your shoes are not excessively worn. These shoes and other shoes that are not sufficiently controlling of pronation combined with an increase in training can lead to this condition. A change in running style, such as starting speed work, running on the ball of your foot or sudden increase in hill workouts.
Self Treatment
As with most running related injuries, an evaluation of changes in your training should be done. A decrease in workout intensity and duration is important. The most important part of self treatment for this condition is being sure that your shoes offer motion control and are optimal controlling the forces that contribute to plantar fasciitis and heel spurs. Check your running shoes to make sure that they are not excessively worn. They should bend only at the ball of the foot, where your toes attach to the foot. This is vital! Avoid any shoe that bends in the center of the arch or behind the ball of the foot. It offers insufficient support and will stress your plantar fascia. The human foot was not designed to bend here and neither should a shoe be designed to do this.
You should also be doing gentle calf stretching exercises. This will reduce stress on the plantar fascia in two ways. The first manner in which a relaxation of the tension in the calf muscles can help heel pain is that it will reduce the direct pull backwards on the heel bone (calcaneus). The second reason is a little bit more complicated, but essentially it is that a tight achilles tendon and calf muscles causes the rearfoot to move in a manner that causes over pronation as your leg and body move forward over your foot. So go ahead and gently stretch the calf muscle by doing the runner's wall leaning stretch. To strengthen the muscles in your arch toe curls or "doming" can be done. Toe curls may be done by placing a towel on a kitchen floor and then curling your toes to pull the towel towards you. This exercise may also be done without the towel against the resistance of the floor.
Icing after running can also be helpful.
Consider adding over the counter foot supports to your shoes. This should be done after you have first tried a good stability shoe, if you over pronate.
Self-Treatment Summary:
Self treatment for this problem should include:
- Temporary decrease in training
- Gentle Stretching of calf muscles. Wall stretches - 10 seconds each side. Repeat ten times. Do two sets of 10 reps each day.
- Check shoes for flexion stability. Avoid and replace any shoe that bends before the ball of the foot. Put your flip flops in the closet and forget about them for a very long time.
- Try wearing shoes that offer more anti-pronation control
- Perform 20 seconds of "toe curls"three times daily to strengthen your foot muscles.
- Ice 15 minutes, 10 minute break repeat 1 - 2 times each day
- Consider rolling your foot over frozen water bottle ( or using frozen peas rather than ice)
- Carefully examine your training regimen (if you've been keeping a running diary - check it for possible training errors).
- Do not go barefoot in your house or at any other time for 6 weeks. Also, no slippers, flip flops, open back shoes, sandals that are open in the back without attaching your heel to them.
- Try over the counter orthotics
- Visit a sports podiatrist
- Consider custom orthotics
Treatment is usually succesful for this problem. ECSWT is considered only after the above treatment has failed for 6 months. Orthotics should be tried prior to considering ECSWT (extra-corporeal shock wave therapy) or surgery. If you have hard, rigid orthotics you should try somewhat softer orthotics.
Shoe Pushup Test
The "shoe pushup test" should be done to check where the shoe bends. Hold the heel of the shoe in one hand and then press up underneath the forefoot. The shoe should bend at the ball of the shoe, where the metatarsals would be. Next press under the part of the shoe where the metatarsal heads would be. The shoe should not bend under moderate pressure before this area. If it does you should change to a shoe that meets this criterion.
An alternative to the "shoe pushup test" is the shoe pushdown test. Press the shoe at a 45 degree or greater angle onto a countertop as seen below. The shoe should bend at the ball of the shoe. It should not bend before this point further back on the shoe.
In the images below the shoe on the left demonstrates a shoe that flexes at the correct part of the sole. The shoe in the image on the right flexes too far back on the foot. Varying areas of flexion that are too far proximal (back towards the heel) often line up with the tender part of the foot. Make sure your shoe bends at the ball of the foot.
|
|
|
|
Office Treatment
Plantar fasciitis is usually controlled with conservative treatment. Following control of the pain and inflammation an orthotic (a custom made shoe insert) will be used to stabilize your foot and prevent a recurrence. Over 98% of the time heel spurs and plantar fasciitis can be controlled by this treatment and surgery can be avoided. The orthotic prevents excess pronation and prevents lengthening of the plantar fascia and continued tearing of the fascia. Usually a slight heel lift and a firm shank in the shoe will also help to reduce the severity of this problem.
The treatment plan that seems to work best, with better than a 98% success rate includes carefully following a program of physical therapy and strappings of the feet. The physical therapy modalities most frequently used include ultrasound (high frequency sound vibrations that create a deep heat and reduce inflammation) and galvanic ( a carefully applied intermittent muscular stimulation to the heel and calf that helps reduce pain and relax muscle spasm which is a contributing factor to the pain). This treatment has been found most effective when given twice a week. The felt pads that will be strapped to your feet will compress after a few days and must be reapplied. While wearing them they should be kept dry, but may be removed the night before your next appointment.
It is important to be aware of how your foot feels over this time period. If your foot is still uncomfortable without the strapping, but was more comfortable while wearing it, that is an indication that the treatment should help. Remember, what took many months or years to develop can not be eliminated in just a few days.
A new treatment which uses "shock wave" therapy has recently been used. It has only been used for resistant heel pain which has been present for more than 6 months and not responded to orthotics, physical therapy, casting, and other therapeutic measures. In my personal experience I have only rarely needed to recommend this since the current therapies work so well. I'd have one strong recommendation for those who have had orthotics that have not worked and have tried all the advice recommended above. That recommendation is to replace that thin, flat heeled very hard orthotic that you've been prescribed with a more flexible and somewhat softer orthotic that has a significantly deeper heel cup. In my practice I often use laminated leather orthotics with a deep heel cup. The material is non-compressible but still yielding and offers significant shock attenuation. The device may also be adjusted to decrease direct pressure on the most painful part of the heel and this can easily be done in the office rather than by sending it back to the laboratory.
Questions & Answers on Heel Spurs and Heel Pain:
Milwaukee, WI: How do you get rid of heel spurs that aren't responding to the stretching exercises prescribed by my doctor?
Dr. Pribut: Orthotics are often used for treatment of plantar fasciitis and heel spurs. But let's look at some background first.
Factors which may contribute to plantar fasciitis and heel spurs include a sudden increase in daily activities, increase in weight, or a change of shoes or allowing your current shoes to wear excessively. Shoes that are too flexible in the middle of the arch or shoes that bend before the toe joints will cause an increase in tension in the plantar fascia. Make sure your shoes are not excessively worn and that they do not bend in the "middle of the arch".
Just to emphasize what you can do at home to treat this: Check your shoes to make sure they offer sufficient support and motion control. They should bend only at the ball of the foot, where your toes attach to the foot. This is very important. Avoid any shoe that bends in the center of the arch or behind the ball of the foot. It offers insufficient support and will stress your plantar fascia. The human foot was not designed to bend here and neither should a shoe be designed to do this.
You may also strengthen the muscles in your arch by performing toe curls or "doming". Toe curls may be done by placing a towel on a kitchen floor and then curling your toes to pull the towel towards you. This exercise may also be done without the towel against the resistance of the floor.
Plantar fasciitis is usually controlled with conservative treatment. Besides surgery and cortisone injections, physical therapy modalities such as electrical stimulation and ultrasound can be used. Often the foot will be taped to limit pronation. Following control of the pain and inflammation an orthotic (a custom made shoe insert) can be used to control over-pronation.
The orthotic has a very high percentage of long term success. If the orthotic has failed for 6 months (and make sure you have also tried a softer orthotic, if a hard plastic one fails) surgery or ESWT (shock wave therapy) can be considered. The protocol for this therapy requires 6 months of failed treatment. I believe that the orthotics and physical therapy work quite well and this currently very expensive therapy should not be needed very often.
Differential Diagnosis
1. Calcaneal Stress Fracture : Calcaneal stress fractures usually are painful in a slightly different location than Plantar Fasciitis. The maximum tenderness is over the body of the calcaneus. Pain is elicited when the calcaneus is pressed on its medial and lateral sides. The tenderness usually continues in a line from the bottom of the bone up the side to the back of the body of the bone.
2. Insertional Achilles Tendonitis:
This condition is usually painful at the back of the heel. Tenderness is found somewhere at the back of the heel either directly behind or more often somewhat posterior-lateral (outside back part of bone) or posterior-medial (inside back part of calcaneus). Occasionally the tenderness continues to the undersurface of the calcaneus and can overlap and coexist with plantar fasciitis.
3. Calcaneal apophysitis (Sever's disease)
Calcaneal apophysitis occurs more often in boys than girls and most often between the ages of about 8 - 12 years old. The pain may occur either at the posterior or plantar portion of the calcaneus. While classically described as being located on the back of the heel, it probably occurs clinically plantarly 40% of the time.
X-ray examination often reveals an apparent fragmentation of the growth plate. Growth is not impaired by this condition. Treatment is similar to that for plantar fasciitis. Decrease activity. Initially a heel lift is used, which often fails to relieve the pain. Custom orthoses and gentle calf stretching is usually quite effective in treating this condition and allowing a reasonably rapid return to sports.
4. Sciatica/Lumbar Radiculopathy/Lower Back Nerve Compression or Disc Origin
A neurological examination can assist in this diagnosis. A thorough local examination though will usually demonstrate no local tenderness. If there is no local tenderness, a more proximal origin of the pain should be suspected.
5. HLA B27/Asymmetrical Arthropathies
Keep in mind the other symptoms or the presence of other disorders to possibly be the cause of the heel pain. IBS, Reiter's disease, Ankylosing Spondylitis, and other conditions may cause heel pain.
6. Fibromyalgia
Difficult to treat. Evaluate other symptoms.
Additional conditions that Plantar fasciitis and heel spurs must be distinguished from:
- Lateral Plantar Nerve, 1st branch entrapment
- Calcaneal Stress Fracture
- Tarsal Tunnel Syndrome
- Plantar Fascia Rupture
- Sciatica
- Achilles Tendonitis
- Rheumatoid Arthritis
- Other Arthritis (Seronegative or Other Associated HLA B27 arthritis, such as with IBS, Ankylosing spondylitis, Psoriatic Arthritis, arthralgia or Reiter's Syndrome)
- Neoplasm
- Gout
- Infection
References:
Baxter DE, Pfeffer GB: Treatment of Chronic Heel Pain by Surgical Release of the First Branch of the Lateral Plantar Nerve: Clin Orthop. 279:229-235, 1992.
Kibler WB, Goldberg C, Chandler TJ: functional biomechanical deficits in running athletes with plantar fascitis. Am J Sports Med 19:66-71, 1991.
Lemont, H, et. al.: Plantar Fasciitis: A degenerative process. JAPMA 93:234, 2003.
Lynch DM, Goforth WP, Martin JE, Odom RD, Preece CK, Kotter MW: Conservative Treatment of Plantar Fasciitis A Prospective Study. J Am Pod Med Assoc. 88:375-379, 1998.
Pribut SM, "Current Approaches to the Management of Plantar Heel Pain Syndrome" J Am Podiatr Med Assoc, January 1, 2007; 97(1): 68 - 74.
Tanz SS: Heel pain. Clin Orthop 28:169, 1963.
Warren BL: Plantar Fasciitis in Runners: Treatment and Prevention. Sports Med. 10:338-345, 1990.
Scherer PR: Heel Spur Syndrome. Pathomechanics and Nonsurgical Treatment. J Am Pod Med Assn. 81:68-72, 1991.





첫댓글 09년 1월 6일. 광주시청 중장거리 선수. 남0하 선수의 병력. 고1때 좌측 아킬레스 건염, 이후 좌측족저근막염, 좌측 아킬레스 건염, 좌측 족관절 스트레스 골절, 좌측발목염좌 등 연속적인 부상. overpronation의 결과물...지금도 족저근막염으로 고생중... 운동 1시간전 아이스팩 30분, 운동직후 아이스팩 30분. 한냉운동치료학 티칭.. 참 재미있다.
선생님 족저근막염 환자에게 테이핑의 효과는 얼마나 될까요? 키네시오 테이핑시에요..
위에 족저근막염으로 고생하시는 분과 발생과 재발이 거의 비슷하군요.
저도 108배를 하는데 발바닥을 꺽이는 부분이 뜨끔하더니 그 때부터 발바닥이 아프기 시작했는데 그 후에 안 걸으면 낫는다고 하여
운동을 삼가고있다가 호전 된 듯해서 산행을 했더니 다시 재발, 안정 후 호전 산행 다시 재발 이런 악순환속에서 지내고잇습니다.
운동 후에 얼음 찜질을 하니 효과가 있는 듯 합니다. 냉동 캔을 발바닥으로 굴립니다.
그러나 여행도 하고싶고 해야 할 것은 많은데 타지에서 갑자기 재발 할까봐 여행도 못 나서고 답답합니다.
저도 치료가 가능할지요.... ㅠㅠ
네.. 가능합니다.
어떻게 가능한지....
여기서 자료보면서 자습하는건가요?
의료인이 힘든 점이 그것입니다. 무엇을 모르니까 무엇을 알려줘야 하는지, 단계단계별로 대처법이 다른데, 지금 어느 상황인지 모르기 때문에 무엇을 얘기 해야 하는지 모릅니다. 마주 앉아 진료할때는 중요한 핵심에 대한 이야기보다는 환자들이 자신이 필요한 이야기만 하고 마는 경우가 너무 많구요. 제가 어떻게 도와드려야 할지요?
그럼 치료는 가능하나 현제 상황에서 거리상 직접 진료가 곤란하니까 결국 여기있는 자료로 만족해야한다는 말씀이신 것 같습니다.
제가 일삼아 여기저기 자료 찾아 볼 수 밖에는.... ^^;;
지금 올린 자료를 가지고 좀 공부를 하시면 핵심적인 질문을 할 수 있을거에요. ㅋㅋ