2018년 여름 제19호 태풍 ‘솔릭’이 필자가 사는 제주도를 할퀴며 지나갔다. 한라산에는 순간 초속 60미터를 넘는 기록적인 강풍이 불었고, 산간 지방에는 1,000mm급 폭우가 쏟아졌다.
곳곳에 정전이 일어났고 제주와 육지를 이어주는 하늘길과 바닷길도 끊겼다. 제주도는 글자 그대로 절해고도(絶海孤島)의 존재, 육지와 동떨어진 뭍, ‘섬’이 되었다.
섬을 뜻하는 외국어를 살펴보면 île(프랑스어), island(영어), isla(스페인어), isola(이탈리아어) 등이 있다. 이탈리아어 이솔라(isola)는 격리를 뜻하는 영어 isolation 과 무척 닮았다. 그도 그럴 것이 섬은 물로 격리된 공간이니까.
격리 isolation ← isolate ← isolato ← 섬 isola (이탈리아어)
사실 ‘섬’과 ‘격리’는 떼려야 뗄 수 없는 관계다. 섬에 보내 주변과 단절시켜 고립시키는 것이 격리의 시작인 경우가 많으니까.
서양의 역사를 보면 격리는 동방으로부터 유입되는 중대 감염병에 대한 거의 유일한 대책이었다.
특히 흑사병(black death)이 돌자 유럽 주요 항구들은 배와 함께 들어올 질병에 대한 걱정이 컸다.
그도 그럴 것이 전염병들은 이방인을 통해 실려 왔고 그 출발점은 항구인 경우가 많았으니까. 그렇다고 교역을 중단하고 쇄국을 할 수도 없는 노릇이 아닌가?

미국 공중보건국의 깃발. 로고의 닻은 항구, 날개와 뱀이 있는 지팡이는 의학을 상징하는 헤르메스의 지팡이, 노란색은 검역을 상징한다. ⓒ 위키백과 자료.
14세기가 되자 이탈리아의 항구에서는 흑사병이 도는 지역에서 온 선박을 항구 밖의 ‘섬’에 격리시키는 조치를 취했다. 이후 승선원들 중 흑사병 환자가 생기지 않은 것을 확인한 다음에야 입항을 허가했다. 이것이 최초의 검역(檢疫)이다.
이때 선박을 섬에 격리한 기간은 무려 40일이었다. 40일은 이탈리아어로 quaranta giorni였고 검역을 뜻하는 영어 quarantine의 어원이 되었다.
검역 quarantine ← (이탈리아어) 40일 quaranta giorni
왜 하필이면 30일도 50일도 아닌 40일이었을까? 이는 기독교의 영향으로 보인다. 예수가 광야에서 보낸 40일, 그 40일을 더러움을 없애는 정화의 기간으로 여긴 것이다. 부활절보다 앞서는 속죄와 정화의 기간, 즉 사순절(四旬節)도 40일이 아닌가.
한편 이민을 적극적으로 받아들인 미국의 경우, 동쪽에는 뉴욕 앞바다의 앨리스 섬, 서쪽에는 샌프란시스코 앞바다의 엔젤 섬을 통해 각각 대서양과 태평양을 건너온 이민자들을 받아들였다.
이민자들은 먼저 섬으로 격리된 후 일정 기간 동안 수용자로 지내며 엄격한 입국 심사를 받았다.
물론 그 기간 동안 감염병에 걸렸던 사람 역시 충분히 걸러질 수 있었으리라. 이렇게 ‘섬’은 ‘격리’와 ‘검역’의 공간을 겸했다.

대서양을 건너 미국에 입국한 이민자들은 앨리스 섬에 격리되어 꼼꼼한 검역 절차를 거쳐야 했다. 앨리스 섬 이민 박물관에서. ⓒ 박지욱 / ScienceTimes
섬을 라틴어로는 인술라(insula)라고 한다. 우리가 아는 많은 단어에서 ‘insula’를 찾을 수 있다.
섬은 동서남북 4면이 모두 바다로 둘러싸인 땅이다. 하지만 3면만 바다로 둘러싸이고 한 면은 육지와 연결된 땅이라면 우리는 반도(半島)라고 부른다. 말 그대로 ‘반쯤 섬’이란 뜻이다. 영어로는 peninsula인데 ‘거의 섬’이란 뜻의 라틴어에서 왔다.
반도(半島) peninsula ← paene (거의)+ insula (섬)
우리가 잘 아는 당뇨병 치료제인 인슐린(insulin) 역시 insula와 관련이 있다. 인슐린은 ‘섬에서 만들어지는 물질’이라는 뜻으로, 실제 췌장의 내분비 조직인 ‘랑게르한스 섬(島)’에서 분비되는 호르몬이다.
인슐린 insulin ← insula(섬) + -in (물질)
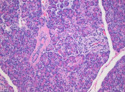
필자가 ‘랑게르한스 섬’이란 이름을 처음 들은 것은 고등학교 생물 시간이었을 것이다. 그때도 그랬고, 나중에 의과대학생이 되어서도 ‘랑게르한스 섬(islet)’이 ‘섬(島)’인줄을 몰랐다. 그런데 왜 이 조직은 섬으로 불릴까?
1869년 독일의 의과대학생인 랑게르한스(Paul Langerhans; 1847~1888)는 현미경으로 췌장을 관찰하다가 소화액을 만드는 세포들 사이에 점점이 흩어져 있는 세포집단을 발견했다. 마치 바다에 점점이 떠있는 섬처럼 보였다.
발견 당시 이 세포 집단들의 정체나 기능을 알 수 있는 사람은 아무도 없었다. 나중에 이 세포들이 물질대사를 조절하는 호르몬을 분비한다는 것이 알려졌고, 그제서야 발견자를 기리기 위해 점점이 떠있는 세포를 ‘랑게르한스의 (작은) 섬(islet of Langerhans)’으로 부르게 됐다.

‘랑게르한스의 작은 섬(islet of Langerhans)’은 소화액을 만드는 몽글몽글한 세포의 바다에 떠있는 느슨하게 보이는 세포집단이다. ⓒ 김대철 제공
1921년 캐나다 토론토대학에서 밴팅(Frederick Banting; 1891~1941)과 그 동료들은 ‘랑게르한스 섬’에서 추출한 물질로 당뇨병에 걸린 개의 혈당을 낮추는 데 성공했다.
연구팀은 그 물질을 ‘아일레틴(isletin)’으로 불렀다. 그 물질의 원산지가 ‘아일렛(islet) 오브 랑게르한스’, 즉 ‘랑게르한스 섬’이었기 때문에.
아일레틴 isletin ← islet of Langerhans (랑게르한스의 작은 섬)
그런데 아일레틴은 효과가 확실했지만 불완전했다. 이후 연구팀은 연구에 연구를 거듭해 아일레틴을 더 나은 물질로 개량했고, 1922년 5월 개량된 아일레틴에 인슐린(insulin)이란 이름을 붙였다.
물론 앞서 살펴봤듯이, 아일렛은 영어로 ‘작은 섬’이고, 인술라는 라틴어로 ‘섬’이므로 의미는 크게 변하지 않았다. 단지 ‘작은 섬(islet)’이 커져서 ‘섬(insula)’이 되듯이 효과 역시 커졌기에 ‘아일레틴’이 ‘인슐린’로 바뀐 건 아닐까.