브라켓을 이용한 교정치료에서, 장치를 다 부착한 뒤에 진행되는 과정이 바로 레벨링입니다.
영어로는 leveling, 우리말로는 평탄화라고 하지요.
여기서 잠깐 교정치료의 단계에 대해 알아볼까요?
발치교정의 단계는 아래와 같이 5단계로 구분해 볼 수 있습니다.
1단계 bracket bonding (장치부착)
2단계 leveling (평탄화)
3단계 space closing (발치공간폐쇄)
4단계 finishing (마무리)
5단계 debonding (장치제거)
비발치교정은 여기서 3단계만 제외하고 건너뛰면 되겠지요.
장치를 부착하고 와이어를 넣자마자 시작되는 레벨링은, 바로 치아들간의 수직적인 높낮이 및 수평적인 배열을 가지런하게 하는 것을 말합니다.
레벨링을 잘 해야만이 그 다음단계인 space closing (발치공간폐쇄)을 쉽게 할 수 있습니다.
덧니가 심하거나 앞니가 많이 삐뚤삐뚤하신 분들은 레벨링 하는데에 시간이 많이 걸릴 것입니다.
반대로 원래 치열이 가지런하신 분들은 3-4개월만에 레벨링 과정을 마칠 수 있습니다.
그러나 치열이 전반적으로 고르다 할지라도 치아 한두개가 심하게 배열이 안좋으면 그 치아 한개 때문에 몇달이 더 걸리기도 합니다. 바로 우리 조팀장 처럼 말이지요^^;;;

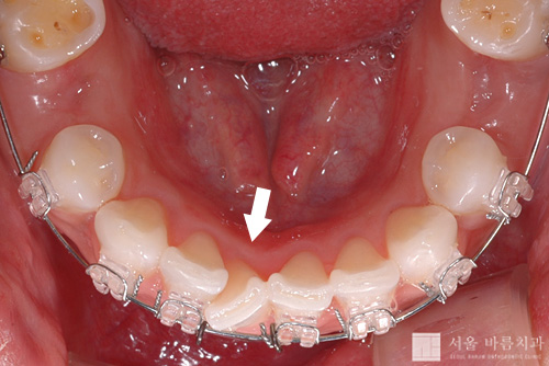
지난 달에 하악에 장치를 부착했습니다. 그러나 하악우측중절치(#41)가 많이 삐뚤어져 있어서 장치를 붙일 수 없었습니다(위의 사진에서 화살표가 가리키는 치아). 당분간 이 차아에 장치를 붙이기 위해서 주변에 공간을 만드는 작업에 주력해야 할 것입니다. 치아가 잘 움직이는 분들은 이 작업이 한달만에 쉽게 끝나지만, 그렇지 않은 분들은 여기서 은근히 시간이 많이 소비됩니다.
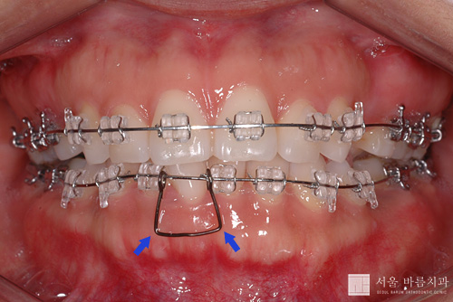
이번 달에는 하악의 와이어를 보다 굵은 것(0.018inch Ni-Ti wire)으로 교체하면서, #41 치아 좌우로 공간을 벌리기 위해서 스프링을 넣었습니다.

스프링의 종류에는 여러가지가 있지만 지금 사용한 것은 temple spring이라고 하는 것입니다. 위의 사진에서 보시는 것과 같이 생겼습니다. 모양은 다소 안좋지만, 조작하기 편리하고 역학적으로 치아를 이동시키기에 상당히 이상적인 특성을 지니고 있는 스프링입니다.
위의 파란 화살표 부위가 벌어지면서 좌우의 치아를 옆으로 밀어내는 작용을 합니다.
상악에는 지난달보다 굵은 와이어인 0.017X0.025 inch Ni-Ti wire를 넣었습니다.
상악의 치열은 두달전보다 많이 가지런해진 모습을 보이고 있습니다. 더불어 철사도 꽤 두꺼워졌네요^^;
이대로 진행된다면 상악에는 다음달이면 공간폐쇄용 와이어를 넣고 발치공간을 닫는 작업을 시작할 수 있을 것 같습니다.
But~!! 과연 그럴까요?ㅋㅋ 다음달을 기대해주세요^^
첫댓글 하하~ 선생님이 애들 가르치는거 같아요~ 재밌네요~ 흥미진진~^^ 저 아랫니는 레벨링 잘 되는거죠?ㅎ 윗니는 좀 오래 걸리겠지만~
Ni-Ti 가 니켈-티타늄을 줄인 거예요? 전 그동안 니티가 뭔가 했다죠.. ^^;; 그러고 보면 아치와이어 한번쓰고 버리기는 너무 아깝네요. 니켈 티타늄 원자재 가격 장난아닌데.. 치과마다 돌아다니면서 아치와이어 수거해서 고물상 가져다주면 푼돈 좀 줄려나.. 치과의사선생님들이 구박하며 쫓아낼 듯.. 백수생활 오래하다보니 엉뚱한 궁리를.. ^^;;
니켈-티타늄 맞습니다. 교정용 철사 만드는 국내회사 중에 LG에서 분사한 곳이 있는데...바로 LG 핸드폰에 들어가는 안테나 만들때 쓰던 재료 그대로 치과계로 뛰어들었죠~ 여성용 속옷에 들어가는 메모리와이어랑 교정용 NiTi와이어는 다 비슷한 것들이랍니다.
저도 교정일기 하나 샀다는;;;(멀고도험한 유머산)
지난달이랑 뭐가 달라졌나 왔다갔다 봐보니 잼있네요 ^^ 틀린그림 찾기 하는거 같아욤ㅎ 왠지 저 거무 띠띠한 temple spring하면 꽤나 아플듯한데요..음..
남의 일기 보는건 정말 재밌는 것? 같아요 ㅋㅋㅋ 몰랐던것도 알게되니 궁금증이 확 해소되네요^^