|
|
골육종은 뼈에 발생하는 원발성 악성 종양(암) 중에서 가장 흔하다. 왕성한 10대 성장기에 가장 많이 발생하며 남자에게 조금 더 많이 발생한다. 발생 빈도는 미국의 경우 연간 500~1,000명 정도 발생하는 것으로 알려져 있고 우리 나라에서도 연간 약 100명 정도 발생하는 것으로 추정되고 있다. 팔, 다리, 골반 등 인체 뼈의 어느 곳에서나 발생할 수 있으나 흔히 발생하는 부위는 무릎 주변의 뼈이다. 암이 있는 부위가 아프거나 붓는 것이 흔한 증상이다.

흔히 암의 발병 원인으로 알려져 있는 흡연, 잘못된 식이습관 등은 대개 어른에게 발생하는 암과 관련이 있고 골육종과는 관련이 없는 것으로 생각된다. 골육종의 발병 원인으로 알려져 있는 것은 과거에 어떤 질환으로 인해 방사선 치료를 받은 경우나 암이 잘 발생하는 특정 질환 증후군이 있는 경우이다. 하지만 거의 대부분의 골육종 환자는 이런 발병 원인을 갖고 있지 않고 발병 원인을 찾을 수 없다. 따라서 골육종을 예방하는 것도 어렵다.
골육종의 증상은 팔다리의 통증과 종창(부종)이다. 일반적인 가벼운 외상(타박상)을 입었을 때 통증에 비해 증상이 오래 지속되고 심해지는 경향이 있다. 하지만, 모든 골육종에서 통증이 모두 동반되는 것은 아니다. 종창 역시 외상에 의한 종창은 시간이 지나면서 줄어들지만 골육종에 의한 종창은 오래 지속되고 심해지는 경향이 있다.
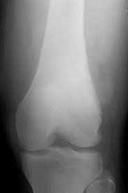
골육종을 의사가 의심하게 되는 것은 단순 방사선 촬영(X-ray)에서 이상 소견이 보일 경우이다. 이렇게 골육종이 의심될 경우 골 종양을 전문으로 하는 정형외과 전문의에게 의뢰하게 된다. 골육종의 확실한 진단은 조직 검사(조직의 일부를 떼어 현미경으로 관찰하는 것)를 하여 이루어지게 된다.


골육종이 진단되면 암의 병기(암의 경과에 따라 구분한 시기)를 결정하기 위하여 추가적인 검사를 하게 된다. 골육종이 발생한 부위에 암이 자리잡고 있는 범위를 보기 위하여 자기공명영상 검사(MRI)를 한다. 골육종이 흔히 전이(암이 인체의 다른 부위로 퍼지는 것)되는 폐와 뼈의 검사를 위하여 폐 전산화 단층촬영(CT)과 뼈 스캔 검사를 한다.
골육종의 병기는 간단하게 구분했을 때 전이 없이 암이 발생한 부위에만 국한된 경우와 전이가 있는 경우의 두 가지로 나누어 볼 수 있다. 전이가 있는 경우가 더 진행된 암이며 대개 폐로 많이 전이된다. 골육종의 진단 시 20% 정도의 환자에서 전이가 발견된다.
골육종의 치료에 쓰일 수 있는 방법은 수술, 항암 약물 치료, 방사선 치료 등이 있다. 수술이란 암을 수술적으로 제거하는 것을 의미하고, 항암 약물 치료란 항암제를 투여하여 암 세포를 없애는 것이며, 방사선 치료란 고용량의 방사선을 암에 조사하여 암 세포를 없애는 것을 말한다.
치료 방법의 선택은 다음과 같은 인자들에 따라 달라진다.
- 암이 발생한 부위 (뼈)
- 암의 병기 (전이 유무)
- 암의 재발 유무
- 환자의 나이와 전신적인 건강 상태
처음 진단 시 전이가 없는 골육종의 경우 대개 수술 전 항암 약물 치료, 종양 제거 수술, 수술 후 항암 약물 치료의 순서로 치료가 진행된다. 수술 전 항암 약물 치료는 약 2개월 정도, 수술 후 항암 약물 치료는 약 1년까지 소요된다.
예후란 환자가 암을 이겨내고 회복할 수 있는 가능성을 말하는 것으로 골육종의 예후는 다음과 같은 인자들에 의해 좌우된다. 진단 당시 전이의 유무가 가장 중요하게 예후를 결정 짓는 인자로, 전이가 없는 경우 5년 생존율(진단 후 5년이 지났을 때 환자가 생존해 있을 확률)은 약 60~70%, 전이가 있는 경우는 5년 생존율이 약 20~30%이다. 예후를 결정짓는 인자들을 정리하면 다음과 같다.
처음 진단되었을 때
- 암의 병기: 진단 시 전이가 없는 경우가 전이가 있는 경우에 비해 예후가 좋다.
- 암이 발생한 부위: 팔, 다리에 생긴 경우가 골반이나 척추 등에 생긴 경우에 비해 예후가 좋다.
- 암의 크기: 암의 크기가 작을수록 예후가 좋다.
- 골절 유무: 암으로 인해 뼈가 약해져 골절이 생길 수 있는데 골절이 없는 경우가 예후가 좋다.
수술 후
- 항암 약물 치료에 의해 암 세포가 죽은 정도: 수술 시 떼어낸 암을 검사하여 수술 전의 항암 약물 치료에 의해 암 세포가 죽은 정도를 알게 되는데, 암 세포가 많이 죽었을 수록 예후가 좋다.
- 수술적으로 암의 완전한 제거 여부: 수술 시 암이 얼마나 충분히 제거되었느냐, 즉 암 주위의 정상 조직을 포함하여 충분히 제거되었느냐가 예후에 영향을 준다.
골육종의 치료가 종결된 후 정기적으로 진료를 받게 된다. 암의 재발과 암 치료 부작용의 진단과 치료를 위한 것이다. 병원 방문은 치료 종결 후 첫 3년간은 약 2~4개월에 한 번씩, 그 이후로는 6개월에 한 번씩 하게 되며 수술 부위의 엑스 레이(X-ray)와 전이 발생 여부를 보기 위한 폐 CT와 뼈 스캔 검사를 하게 된다. 완치 후 재발 없는 기간이 오래될수록 병원 방문의 횟수는 줄어든다.
아직까지 골육종을 예방하기 위한 뚜렷한 예방 수칙이나 권고되는 기준은 없다.
|
|
첫댓글 감사합니다^^
감솨합니다.
감사드립니다>>>>>>
감사드려요^&^
감사드립니다!!!