카페에서 알립니다
| 2015 한국형 심폐소생술 가이드라인 (부록 3) | 16.03.23 |
| 2015 한국형 심폐소생술 가이드라인 (부록 1,2) 입니다. | 16.03.23 |
| 실습일지 기본서식 및 공지사항 | 15.05.16 |
| Case PPT 발표 기본 서식 및 공지사항 | 15.05.16 |
| 생명의 별자리 카페지기 양도함을 공지.. | 임용덕(전대병원) | 355 | 15.01.30 |
| 2014년 응급구조사 보수교육 미이수자 .. 2 | 조현진(응급코디★) | 134 | 14.09.01 |
| 2014 광주광역시 고등학생 심폐소생팀 .. | 조현진(응급코디★) | 97 | 14.08.04 |
| 추천★ 신간 : 보건의료임상실습지침서 | 조현진(응급코디★) | 349 | 14.04.29 |
| BLS Provider (2014-05-10) | 조현진(응급코디★) | 79 | 14.04.10 |
| 2014년 응급구조사 보수교육 일정 | 조현진(응급코디★) | 65 | 14.04.10 |
-
-
고흥 오토바이 T..
2
JYW(전대-정영원) 15.07.26상기환자 07.26일 새벽 4:30분경 오토바이 타고 이동 중 갓길에 정차해있던 트럭 피하지 못해 오토바이 TA 환자로 보시는 사진과 같이 Scrotu..
-
-
-
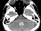
ICH, IVH cas..
JYW(전대-정영원) 15.06.21상기환자 HTN History 가지고 있는 환자이고 ..
-
-
-
-
2014-09-04 송원고등..
1
조현진(응급코디★) 14.09.052014-09-04구조 및 응급처치 교육 송원고등학교 1학년 친구들 강사님들 수고하셨습니다
-
-
-
-
2014-09-02 광주과학..
1
조현진(응급코디★) 14.09.052014-09-02구조 및 응급처치 교육 광주과학기술원 재학생,교직원 대상 강사님들 수고하셨습니다
-
| 전남대병원 응급구조사 채용공고(알림) | JYW(전대-정영원) | 413 | 16.02.22 |
| 2016년도 북부소방서 소방공무원 대체.. | JYW(전대-정영원) | 53 | 15.12.13 |
| 아주대학교병원 권역외상센터 응급구조.. | JYW(전대-정영원) | 101 | 15.12.13 |
| [2016년도 동부소방서 소방공무원 대체.. | JYW(전대-정영원) | 19 | 15.12.13 |
| 광주광역시 남부소방서 기간제 구급대원.. | JYW(전대-정영원) | 17 | 15.12.13 |
| 삼성서울병원 응급항공의료팀 응급구조.. | JYW(전대-정영원) | 74 | 15.12.13 |