카페에서 알립니다
| 치료보증서 발급과 철저한 사후관리는 사과나무의 기본 | 09.06.09 |
| International Dental Care Service! | 09.03.07 |
| 치과 치료 중 치아 성형이란?-치아성형전문치과 | 08.09.04 |
-
-
-
발치 즉시 임플란트
2
임플과 이소연 10.04.082007년 처음병원에 오셨을 때의 사진과 x-ray입니다. 위의 양쪽어금..
-
-
-
-
어금니의 여러개 임플란트..
4
jellyfish(이지형) 10.02.01환자 : 60대 여성 주소 : 오래된 보철 주변으로 잇몸이 붓고 흔들림..
-
-
-
-
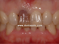
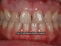
변색된 앞니의 임플란트[..
6
jellyfish(이지형) 10.02.11pt : 40대 남성 c.c: 치아의 색이 변했어요 (예전에 부딪힌 적이 ..
-
-
-
[강남치과추천/치아교정전..
사과나무 10.10.01치아교정치료 시주의사항 치료초기 장치의 장착이 끝나면 3~4주 한번씩 치과 내원하게 된다. 다른 영역의 치료와 달리 치아교정의 독특한 특징은 상당부분의 치료내용이 병원 밖에서 이루어지므로 밖에서의각별한 관리가 필요하다 교정장치의 탈락 , 특히 브라켓이 탈락할 경우 바로 내원하는것이 중요, 또..
-
-
뷰티&성형박람회 보러가요..
뷰티c 10.08.31
-
-
저는 어떤 장치로 하는것이..
원무팀장 이미연 10.07.30교정장치는 크게 가철식 교정장치와 고정식 교정장치로 나뉩니다 가철식 교정장치란 이름그대로 환자분들이 스스로 뺐다꼈다 할수 있는 장치를 말하며 고정식 교정장치는 우리가 교정이라고 하면 알고있는 브라켓 장치를 말하는것입니다 예전에 고정식 교정장치라 하면 메탈 교정장치. 금속으로 된 교정장치만이 존..
-
-
치아교정 궁금합니다!
원무팀장 이미연 10.07.22치아교정 궁금합니다! 1. 교정치료를 받으면 좋은점은? 1. 보다 건강한 생활을 할 수 있습니다.치열이 고르지 못하면 칫솔질이 어렵기 때문에 충치나 잇몸질환이 생기기 쉽습니다.또한 치아의 마모가 불규칙하게 나타나기 쉽고, 음식물을 잘 씹지 못하기 때문에저작기능도 떨어집니다.교정치료를 함으로써 이러한 문제..
-
-
-
[강남역치과,앞니잘하는곳..
3
외과선영 09.11.09처음 내원 모습 입니다. 치아 사이사이에 충치가 생겼고, 앞니 사이..
-
-
-
-
[강남역치과.강남역치과추..
2
외과선영 09.10.22술 전 술 후 (Resin filling)
-
-
-
-
강남역 치과,앞니성형,치아..
여니 09.10.2120대 후반 여성 -먼저 미백 치료 후 윗 앞니는 올세라믹 치료로 마..
-
