-
-
-
파절된 앞니의 레..
이수행 14.11.29
-
-
-
-
공주 미소담 치과..
이수행 12.09.06안녕하세요. 공주 미소담 치과 보철과 김계순 원장입니다. 앞니의 ..
-
-
-
-
공주 미소담 치과..
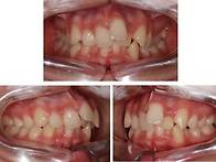
이수행 18.05.20안녕하세요. 공주 미소담 치과 교정과 입니다.오늘은 개방교합 치료..
-
-
-
-
튀어나온 앞니의 ..
이수행 18.05.13안녕하세요. 공주 미소담 치과입니다. '공주치과'로 인터넷 검색을..
-
-
-
이유 있는 열풍,..
임스 20.02.07新트렌드 시장! 저∙무해지환급형 생명보험협회에 따르면, 2010년 50.9%로 절반 이상을 차지하던 사망보험 가입률이 2012년 35.5%로 비중이 감소했다. 그러다 2015년 ‘저해지환급형 종신보험'이 처음 등장하면서 그 해 사망보험 가입률은 42.9%로 상승했고, 지난 해는 47%까지 회복했다. 보험료 부담을..
-
-
-
맑은샘 교정세미나..
이수행 12.08.18
-
