카페에서 알립니다
| 내과과장님 2분 진료시작및 최신병원소식 | 26.05.04 |
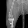
| 고관절 /슬개골 4기수술예후 | 18.05.25 |
| 양측 골반다발성 골절+ 발목 골절(끊어짐) --교통사고 | 25.03.07 |
| 슬개골 탈구 4기수술 전 후 회복영상 | 25.03.07 |
| 슬개골 탈구 4기 수술 전후 | 21.01.08 |
-
-
-
내과과장님 2분 ..
TAMARIX(정성환) 26.05.04-청주 대형동물메디컬 센터에 근무하셨던 ..
-
-
-
-
TPLO+TTT 동시수..
TAMARIX(정성환) 25.07.31TPLO전십자인대 단열 수술중 난이도가 가장높..
-
